[PR]上記の広告は3ヶ月以上新規記事投稿のないブログに表示されています。新しい記事を書く事で広告が消えます。
昨日、7月11日(日)は妊婦検診やった。
ずっと気になっていた
3人目の性別。
・・・・・・・・・・・ドキドキしながら診察室へ。
私 : 先生、性別がわかったら教えてください。
先生 : もちろん、わかったら言うよ。一緒にみよう!
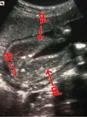
早速検査が始まった。
よーーくよーーくよーーーく!!!!
目を凝らしてお股を確認するけれど
男の子に見えない。
私 : 先生、コレ何にもついてないですか?
先生 : うーーん。多分、これが子宮だと思うんだけど
まだ小さいから何とも言えないなぁ。
私 : えっ。ほんなら女の子の割合の方が高いんですか?
先生 : うーーん。そうだねーー。
・・・・・・・・と、歯切れの良くない感じでした(笑)
そして、診察室を出るときに
わかりました。
(T∇T)
○●○●○○●○●○●○●○○●○●○
次は2週間後です。子宮が見えれば女の子確定かなぁーー。
拓人と陸人の時は、すぐに「男!」ってわかったので
このわからない期間が何となく不思議です(*^-^*)
私はどっちでもいいので、早くはっきりしてほしいですっ!!!
エコー写真の達人の方がいらしたら、どっちか教えてください(笑)
↑ちなみに、電話はワンコールで出ました。↑
↑一番気になってるマミィに愛の1クリックを!!↑
↓↓けえこ作!LINEスタンプ発売中↓↓
↓↓くわしくはイラストをクリック↓↓
四コマ漫画連載中!みてね!
↓↓↓↓イラストをクリック↓↓↓↓
↓いいね!お待ちしています♪
☆Facebookほわわん子育て絵日記のページ☆
↓twitterフォローお待ちしてます♪
@keiko_howawan
☆お仕事承ります☆
似顔絵、イラスト、地図などの制作。
色んなお仕事承ります!!
詳しくはこちらをご覧ください!
☆amazonのお任せリンク☆
ブログの内容に連動するそうです。
何がでるやら・・・。
うちの娘、六ヶ月でこれはオンナッ!この割れ目が!とか言われてましたからねぇ
その後も行く度に子宮の有無のことは言われず、割れ目で女と言われ続けました(笑)
お医者さんには子宮確認できてたのかも知れませんが(笑)
子宮どころか、もう形が女の子そのものやったんでしょうね(*´ー`)
うちはどっちかなぁーー??
2週間後に確定かなぁ?それともどんでん返し?
いやーーどちらにしてもドキドキです(笑)
うちの息子は妹が産まれたとき、新生児室の前で知らない人にまで「これ妹よ。かわいいでしょ。」って言いまくってました(笑)2歳にしてそういう感情があるのかと感心しました。陸人くんも同じくらいなので反応が楽しみですね。
勝手な想像なんですが、自分は男の子を産むもんやと思っていたので
女の子が出てくるかもしれないことにびっくりです(O_O;)
お洋服はかなり魅力的ですねっ!!やっぱり女の子のお洋服の種類は
すごいですもんね!息子さんかわいいーーーっ!!そんなん言われたら
たまりませんっ!!拓人と陸人もかわいがってくれるといいなあ(*´ー`)
たぶん2週間後には見えると思います♪
我が家も最新同じようにわからなくって、買い物(女の子用)まだしやんといてやぁって言われました( *´艸`)クスクス
旦那さんは生まれるまで内緒にしててほしかったみたいですけど、一緒に検診行った時普通の先生との会話の中でバレました~。
ない私にとってはハートというのが想像つきませんっ!!(笑)
2週間後が楽しみですーーo(^-^)o
一緒に検診行くとバレますよねぇーーっ!!でもわかったらわかったで
嬉しいですよね♪♪
でも、先生の最後の一言、気持ちわかってますね~(^^;)
うちの姪っ子は「男の子」って断言されてたんだけど、女の子だった・・・どこにおいてきた??
2週間後、また楽しみにしていますね、私も♪
隠してるんですかねぇ??
最後の一言は重みがあります(笑)
男の子って断言されて、女の子っていうパターンは珍しいっ!!
そっと片隅にでも置いてきたんでしょうかo(^-^)o
私も2週間後を楽しみに♪また報告しますね!
女の子かなぁ?と、みえますよね。
娘は、7ヶ月、息子は5ヶ月でわかりましたよ。
産んだ病院で、最初の医師から女といわれて、里帰り先でも女と言われ、確定と思ったら、産まれてたらついてたそうです。
うまく隠している子は実在するみたいです(笑)
うちも拓人と陸人は早かったです!!男の子は何もかもわかりやすい
ですよね(笑)
二人の先生の目も狂わせるくらいに上手に隠す子がっ!(O_O;)
できれば隠さないタイプがいいですーーっ(笑)
明らかにうちのBOYとは違いますよ!すぐにあるのがわかりましたもん!きっと先生も確信が出てから言いたいんでしょうね。
うちは、二人目まだ3ヶ月なのでわからないのですが、聞こうか、聞くまいか迷い中です。
もうすぐ5歳の上の子は妹希望なんです(笑)
「ついてるわ!」と思いました(笑)
でも、うまいこと隠してるのかもしれませんし、まだ謎です。。
妹さん希望なんですねっ!!拓人は弟希望でした( ̄ロ ̄lll)
どちらにしても兄弟姉妹が増えるっていうのは嬉しいことですね♪
もう少し大きくなったら性別聞けますね!!私も楽しみです(*^-^*)
私はるち太のとき写真では全然わからなくて。
先生がどうやら「暴れん坊」とか会話の中で男の子であることを示唆していたようなんですけど、ちゃんと教えてもらうまでそれも気づいてませんでした(´▽`*)アハハ
次の健診ではっきりわかると良いですね♪
ワンコールで出たマミィさんの気持ちわかるな~(*≧m≦*)プププw
再見ヽ(o・ω・o)ノ゛マタクルネ
何よりですねぇ♪♪
できれば次ではっきりするといいなぁと思っています。
ワンコールで出たマミィのためにも(笑)
応援していただけて本当に嬉しいです!
頑張ります(^o^)!
女の子の可能性のほうが高いんですね!
結果気になりますねぇ~!ドキドキ(笑)
楽しみにしてますね(^ω^)
まずはビギナーダンゴムシコースからスタートです(笑)
女の子なのか、大どんでん返しで男の子なのか・・。どっちでも
いいので、早くハッキリしりたいです♪
マミィもずっとドキドキしてるみたいなのでo(^-^)o
2週間後、また報告しますねぇ!!
私も3人目は 出来れば♀のコが欲しい☆後5歳若かったらの話ですが…(^_^;)けえこさん 若いですね…(笑)
でももしかしたら、ものすごく隠し上手かもしれんし(笑)
やっぱり子宮というものを確認しないことには、断定できないんで
しょうねぇ。。
私、若くないですよーーーっ!!これが最終やと思って気合で
頑張っていますが、腰がたがたです(笑)
けえこさんの家に娘ちゃんが・・・と思うと
何だか不思議な気持ちがします。
拓人くんと陸人くんの反応が更に楽しみになって
くるといいますか(´艸`)
何にせよ楽しみですねv
思ってしまっています。なんか自分が女の子を産むかもしれないということに
実感沸かなくて(汗)
拓人と陸人はどうなるのやら、ドキドキです。
そして、ほんまの性別は!?
早く2週間過ぎてほしいですーーっ!また報告しますね(*^-^*)
教えない方針らしく前回も性別を知ったのは
分娩台の上でした(^_^;
友達のエコー写真を見せてもらいましたが
(男女とも)男の子はぱっと見でわかりましたよ♪
女の子は確定が出るまで時間がかかるみたいですね。
イヤだという方もいるみたいですしね。。悲しいですけどね(´A`。)
どっちでも私はかわいいと思うんですけどねぇ。。
2週間後にハッキリしたら、また報告します!!
あーーーーーーー。ドキドキです(笑)
女の子ですかねっ!!
でももしかしたら、ものすごく隠し上手なBOYかもしれません(笑)
また2週間後、報告しますね!!
そこが何だかとっても怖いですーー(笑)
でも、もしかしたらマミィの血を引く隠し上手なboyで、
今頃お腹の中で「きゃきゃきゃ」と笑ってるのかもしれませんよぉ(汗)
私は2人共男の子だったのですぐに決断が出なかったら女の子って期待しちゃいます
私も3人目を考えてるのですごく参考になります
2週間後が楽しみですね
コメントありがとうございます!
3人目を考えてらっしゃるんですかーーっ!!
うちはどっちに転ぶのか・・。大どんでん返しかそれとも・・。
上の二人は「はい!男!」って感じのエコー写真でめちゃくちゃ
あっさりと決まっただけに、この微妙の期間が不思議です。
またご報告しますねぇ!!(*´ー`)
私は4歳0ヵ月の女の子、0才6ヶ月の女の子のママです。
うちは、2人とも生まれるまで「たぶん女の子だと思います」と言われて、確定はしてもらえませんでした。けえこさんのエコー写真を見る限り、うちの子よりもはっきりとお股が見えているので女の子確率は80%くらいですかね?(笑)
コメントありがとうございます!
お二人の女の子のNMママさんから、80%の確率を頂いたら・・もうマミィは
あまりの喜びに乱心してしまうことやと思います!
男の子に比べると、かなり確定しづらいんですね。
私にとっては全くの初めての経験で、驚きました!!
次の2週間後の検診ではどうひっくり返るやら・・やっぱりドキドキです♪
またご報告しますね!!o(^-^)o
更新案内や過去記事のリンクなどをUPしています。
http://www.facebook.com/howawan
【Twiiter】
ブログ更新の案内や何かをつぶやこうと思います。
@keiko_howawan
| 12 | 2026/01 | 02 |
| S | M | T | W | T | F | S |
|---|---|---|---|---|---|---|
| 1 | 2 | 3 | ||||
| 4 | 5 | 6 | 7 | 8 | 9 | 10 |
| 11 | 12 | 13 | 14 | 15 | 16 | 17 |
| 18 | 19 | 20 | 21 | 22 | 23 | 24 |
| 25 | 26 | 27 | 28 | 29 | 30 | 31 |
「子育て」で検索するとほぼ全部の記事が結果として出てしまいます(^_^;)
記事下にあるバナーでも、このバナーでもぽちっとしていただくと、1日10ポイント入ります。
宜しければ1日1回、ぽちっとお願いします☆


